V ostatnom čase slovenská rybárska obec, špeciálne chovatelia salmonidov, zostala zaskočená: Slovenská štátna veterinárna správa pristúpila k najtvrdším opatreniam vo vzťahu k nim vo svojej histórii. Odvolávajúc sa na príslušnú legislatívu nariadila likvidáciu viacerých chovov lososovitých rýb, najmä v oblasti stredoslovenského regiónu. Medzi chovateľmi nastala panika. Veď toto ochorenie doteraz poznalo iba niekoľko popredných „pstruhárov“, ostatní o ňom ani nepočuli...
nezadaný
21.09.2009 (10/2009)
0
info
Kategória: Infoservis
Vyšiel v čísle: OKTÓBER 2009
Počet strán v magazíne: 1
Od strany: 82
Článok si môžeš prečítať zadarmo od 21.04.2015.
Medzi chovateľmi nastala panika. Veď toto ochorenie doteraz poznalo iba niekoľko popredných „pstruhárov“, ostatní o ňom ani nepočuli.
Aké je toto ochorenie? Skutočne sme ho u nás nikdy nemali? Bolo k nám zavlečené importovanými rybami? Sú tvrdé opatrenia Štátnej veterinárnej správy namieste? Prečo nikto kompetentný nedokáže zaujať k vírusovej hemoragickej septikémii
(zdurenie suprarenálneho a interrenálneho orgánu; medzinárodné označenie ochorenia - VHS) exaktné stanovisko? Ako ďalej v chovoch pstruhov?
S takýmito a podobnými otázkami sa na nás obracajú viacerí slovenskí (ale dokonca i českí, poľskí a maďarskí) chovatelia.
Dôvodom je chýbajúca oficiálna informačná kampaň. Toto spôsobuje, že sa množia „zaručené rady a odporúčania“ rôznych rýchlo kvasených pseudoodborníkov, ktorým chýba nielen príslušné vzdelanie a prax, ale často i zdravý sedliacky rozum. Ich „stanoviská“ si väčšinou protirečia, čo situáciu ešte viac komplikuje.
Zvážiac uvedené aspekty, rozhodli sme sa vaše otázky vypočuť a na stránke Slovenskej rybárskej agentúry o tomto ochorení objektívne informovať. Využili sme skúsenosti našich priateľov – popredných nemeckých a dánskych chovateľov pstruhov, ako i v minulosti publikované, ale i nepublikované práce špičkových českých ichtyopatológov, ako i naše, skoro 30-ročné praktické skúsenosti v oblasti chovu a profylaxie salmonidov.
Na úvod je potrebné konštatovať, že vírusová hemoragická septikémia je jedno z najznámejších ochorení pstruhov dúhových v podmienkach veľkochovov.
Na jeho vírusovú etiológiu upozornil Schäperclaus už pred viac ako polstoročím – v roku 1954 a vírusového pôvodcu označil Jensen v roku 1962. Nákaza sa vyskytuje v intenzívnych chovoch pstruha dúhového prakticky po celej Európe. V krajinách bývalého Československa je známa 40 rokov, od začiatku 70-tych rokov a spôsobovala tu ekonomické straty.
To, že sa na Slovensku o VHS začalo nahlas hovoriť iba v ostatných 2-3 rokoch, teda neznamená, že sme ju tu nemali. Informačné vákuum poskytuje skôr vysvedčenie odbornej úrovne kompetentných. V tejto súvislosti slová napr. „VHS k nám zavliekol ten a ten (mená chovateľov sa obmieňajú podľa toho, kto je práve interpretom tohto klišé) z Čiech (Poľska, Talianska, Španielska, príp. Turecka)“ vzbudzujú nielen úsmev, ale najmä súcit.
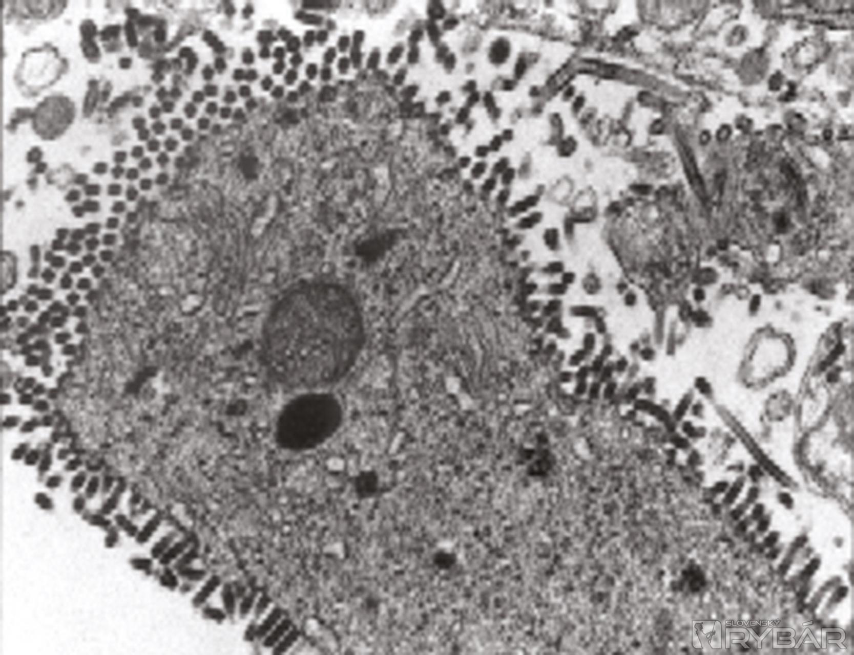
Pôvodca VHS: vírus zo skupiny rabdovírusov dosahujúci veľkosť 180 – 240x60 – 75 nm.
Vnímavé druhy: pstruh dúhový, sivoň americký, pstruh potočný (iba po umelej infekcii).
Vek rýb, u ktorých sa ochorenie prejavuje (veľkosť): 1 až 2 roky (12 a viac cm).
Sezóna manifestácie ochorenia: chladné ročné obdobie (8,5 °C).
Zamorenie prostredia: obyčajne sa vírus prenáša latentne chorými rybami alebo ich ikrami ihneď po výtere (v štádiu očných bodov sa infekcia už diagnostikuje nespoľahlivo). Zárodky sa šíria exkrementami a nedezinfikovaným náradím.
Nákazová cesta: k infekcii dochádza žiabrami.
Podmieňujúce faktory: nízka teplota vody okolo 8 °C (pri vyšších teplotách vody má nákaza degresívny priebeh a nad 14 °C sa už neprejavuje vôbec); virulencia je nepriamo úmerná teplote vody; neprimerané kŕmenie rýb vzhľadom na teplotu vody; skrmovanie nevhodného (v daných podmienkach) krmiva – hlavný faktor; nešetrná preprava, stresy, znečistenie vody.
VZNIK A PRIEBEH CHOROBY
Príznaky ochorenia sa prejavujú 7 – 15 dní po nákaze. Jej štádium býva akútne, kedy straty dosahujú 50 a viac percent z obsádky, a chronické. Vírus napáda nadobličkový systém (pravé nadobličky ryby nemajú) a krvným riečiskom sa dostáva aj do iných orgánov a celého tela. Vírus poškodzuje krvné kapiláry, preto dochádza k drobným krvným výronom. Postihnuté orgány degenerujú, nastupuje celková anémia a obmedzenie exkrečnej činnosti.
Správanie chorých rýb: postihnutá obsádka je nápadne plachá, choré ryby nedokážu dobre udržať rovnováhu, dostávajú kŕče a otáčajú sa podľa pozdĺžnej osi, ryby nežerú, strácajú reflexy a vo veľkom počte hynú.
Chorobné zmeny: ryby sú nápadne tmavé (zo začiatku na chrbte, neskôr aj na bokoch), častý je exoftalmus (vypúlenie očí), žiabre sú výrazne bledé, nedokrvené, v koži pri báze plutiev sa objavujú menšie krvácaniny (hemoragie), ktoré už pozorujeme i vo svalovine a vnútorných orgánoch, nadobličkový systém (nesprávne obličky) je zdurený až granulovaný, výrazne hrboľatý, tmavočervený až šedivastý, v telesnej dutine sa hromadí tekutina, črevo je stenčené.
LIEČBA
V nedávnej minulosti sa nám v kritickom období (predjarie) osvedčilo podávanie ľahko stráviteľného krmiva (hovädzia slezina) obohateného o vitamíny A, B1, B12, D a E. V súčasnosti, pri skrmovaní plnohodnotných suchých kŕmnych zmesí, je potrebné zvoliť také krmivo, kde pomer TUKY:BIELKOVINY:VITAMÍNY zodpovedá možnostiam metabolizmu salmonidov v tomto období. Inými slovami – krmivo, ktorého skrmovanie prináša jednému chovateľovi radosť a zisk, môže inému (v iných podmienkach) priniesť sklamanie.
PREVENCIA
Prísnou kontrolou prevozu ikier (a práve toto je parketa veterinárov) ale aj rýb je potrebné zabrániť zavlečeniu nákazy do chovného zariadenia. Ak klesne teplota vody pod 10 °C, je potrebné manipuláciu s rybami obmedziť na minimum, s rybami zaobchádzať obzvlášť šetrne a upraviť kŕmne dávky vo vzťahu k teplote vody. V odchovniach s možnosťou oteplenej vody je dobré udržovať jej teplotu nad 15 °C, ktorá zabráni vzniku nákazy.
V minulosti sa nám osvedčilo oplodnené ikry ošetrovať roztokom Jodonalu v presne stanovenej koncentrácii.
Dlho očakávaný, ťažko sa rodiaci súbor eradikačných opatrení veterinárnej správy by mohol pomôcť v osvete a boji s VHS. Samozrejme, iba v tom prípade, ak jeho odborná úroveň bude zodpovedať úrovni doby a domácich podmienok súčasne. V opačnom prípade to môže byť iba kontraproduktívna znôška byrokratických rozkazov, ktorá ďalej ešte viac zhorší už aj tak zlú situáciu slovenského pstruhárstva.
Chceme však dúfať, že predkladateľ zapojil do jeho prípravy odborníkov, a nie tak ako často vidíme (a nielen u nás) rôznych lobistov, ktorých primárnym cieľom je stav čo najviac skomplikovať. Táto úloha je však, zdá sa, skoro neriešiteľná. Veď podľa našich informácií Štátna veterinárna správa nedisponuje žiadnym špecialistom – ichtyopatológom. Tých je ale u nás celkovo v posledných rokoch ako šafranu, pričom pôsobia zväčša v privátnej sfére.
Jedno je však isté: pripravme sa na to, že do budúcnosti sa s VHS budeme musieť naučiť žiť.
Na záver zdôrazňujeme, že VHS je ochorenie rýb (poikilotermné živočíchy). Nepatrí medzi zoonózy (napr. vtáčia chrípka, besnota), preto nie je prenosné na teplokrvné živočíchy, a teda ani na človeka.
Dňa 19. júna 2009 vyšiel v Zbierke zákonov nový zákon č. 299/2009 Z. z. V jeho prílohe č. 3, v ktorej sú uvedené CHOROBY, KTORÉ PODLIEHAJÚ HLÁSENIU, bola doplnená aj Vírusová hemoragická septikémia (VHS).Tento zákon nadobúda účinnosť 1. októbra 2009. Jeho plné znenie si môžete prečítať na našich internetových stránkach www.sryba.sk
Pracovníci slovenskej rybárskej agentúry sú pripravení zodpovedať na vaše otázky aj individuálne. Svojimi dlhoročnými skúsenosťami tak pomôžu prekonať dopady tohto zákerného ochorenia.
SLOVENSKÁ RYBÁRSKA AGENTÚRA
Tajovského 261
038 43 Kláštor pod Znievom
Mobil: +421 918 300 437
sryba@sryba.sk,
www.sryba.sk
Mgr. Miloslav ZUZIAK,
Ing. Ján KOHÚT
Celá fotogaléria k článku
Stiahnuť článok v PDF formáte.